Smile Makeover Dentist

A title

Image Box text

DR. Nicha chongsuviwatwong DDS.,

Education

  • doctor of dental surgery ,Mahidol university
  • higher graduate diploma in restorative dentistry , Chiangmai university

Language

  • English, Thai
หมอทำฟัน มหาวิทยาลัยเชียงใหม่

Cases Gallery Smile Makeover By Dr. Nicha – Esthetic/Restorative Dentist in Thailand


crown veneers
veneer bridge
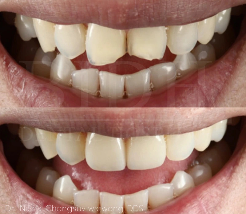
veneers
veneer
veneer
veneers
crown ceramic
veneer
veneer
veneer
veneer
veneer
veneer
veneer
case ceramic veneer
Prosthodontist in Thailand Dr. Paitoon

Media Coverage and Celebrities


DR. Nicha Chongsuviwatwong

Get a dental consult

Ask our cosmetic dentists on cosmetic dental treatments for your specific case.